Protocolo All On 4 - Sorriso Completo e Fixo em Colatina

Planos Odontológicos
Produto oferecido por: Medeiros Odontologia
A consultar
Seja o primeiro a avaliar:

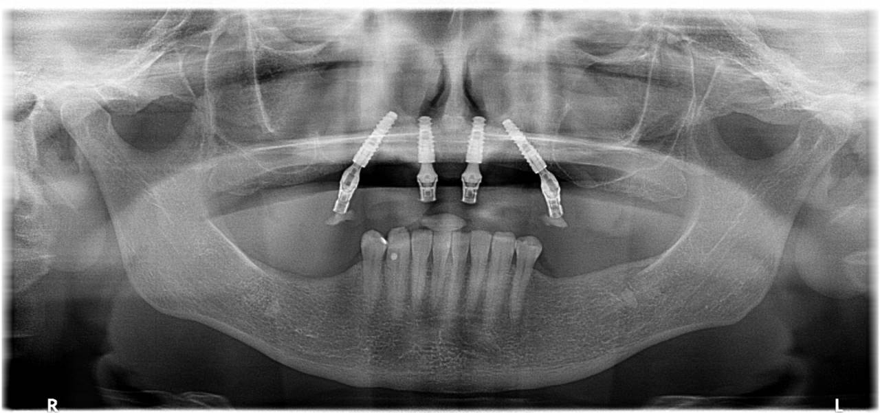
O Protocolo All On 4 é uma técnica revolucionária para reabilitação oral total em pacientes que perderam todos os dentes ou que possuem dentição severamente comprometida. Na Medeiros Odontologia, em Colatina, somos especialistas no Protocolo All On 4, oferecendo uma solução fixa e duradoura, que devolve a estética e a função do sorriso em uma única cirurgia. Essa técnica utiliza apenas quatro implantes para sustentar uma prótese completa, garantindo um resultado estável e natural.

Informações Técnicas

  • Material: Implantes de titânio biocompatíveis que servem como base para a fixação de uma prótese total, substituindo todos os dentes superiores ou inferiores.
  • Procedimento: Em uma única cirurgia, são instalados quatro implantes estrategicamente posicionados, permitindo a colocação imediata de uma prótese fixa. A recuperação é rápida e o paciente sai da clínica com dentes novos no mesmo dia.
  • Durabilidade: Com cuidados adequados, o Protocolo All On 4 oferece uma solução de longo prazo, com uma prótese fixada de forma permanente aos implantes.
  • Indicações: Ideal para pacientes que perderam todos os dentes ou estão prestes a perdê-los, proporcionando uma solução fixa que imita a dentição natural.
  • Diferencial: Na Medeiros Odontologia, utilizamos as mais modernas técnicas para garantir que o Protocolo All On 4 seja realizado com segurança, conforto e resultados excepcionais, restabelecendo não apenas a estética do sorriso, mas também a função mastigatória.

Se você busca uma solução definitiva para a perda total de dentes, o Protocolo All On 4 na Medeiros Odontologia é a escolha certa para recuperar seu sorriso e sua confiança. Agende sua consulta e descubra como podemos transformar sua vida!

Avaliações

Ninguém avaliou esse produto ainda. Que tal ser o primeiro?

Avalie este produto