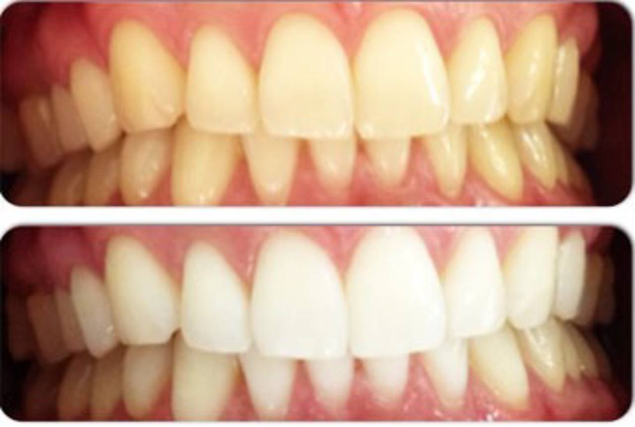
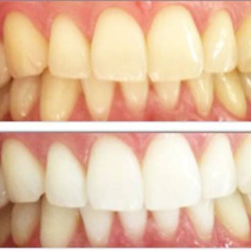
O clareamento dental é um procedimento estético popular que visa remover manchas e descolorações dos dentes, proporcionando um sorriso mais brilhante e atraente. Na Clínica Torquato, oferecemos um serviço profissional de clareamento dental para ajudar nossos pacientes a conquistarem um sorriso mais radiante e confiante.
Detalhes técnicos: O clareamento dental pode ser realizado de várias maneiras, incluindo o uso de géis clareadores à base de peróxido de hidrogênio ou peróxido de carbamida, que são aplicados diretamente na superfície dos dentes. Estes géis podem ser ativados por luz LED ou laser para acelerar o processo de clareamento. Nosso procedimento é seguro e supervisionado por nossos dentistas especializados, garantindo resultados eficazes e duradouros.
Benefícios: Além de melhorar a aparência estética, o clareamento dental oferece uma série de benefícios para os pacientes. Um sorriso mais brilhante e atraente pode aumentar a autoestima, melhorar a confiança e até mesmo ajudar a abrir portas pessoais e profissionais. Com resultados visíveis após apenas algumas sessões, o clareamento dental na Clínica Torquato é uma maneira rápida e eficaz de transformar seu sorriso.
Comparação com a concorrência: O que diferencia nosso serviço de clareamento dental na Clínica Torquato é nosso compromisso com a segurança e o conforto do paciente. Utilizamos técnicas avançadas e produtos de alta qualidade para garantir resultados superiores, sem comprometer a saúde ou a integridade dos dentes. Nossa equipe de dentistas experientes está dedicada a proporcionar uma experiência positiva e gratificante para cada paciente.
Conclusão: Se você deseja um sorriso mais brilhante e atraente, o clareamento dental na Clínica Torquato é a escolha certa para você. Agende sua consulta hoje mesmo e descubra como podemos ajudá-lo a conquistar o sorriso dos seus sonhos. Estamos aqui para ajudá-lo a alcançar seus objetivos estéticos de forma segura, eficaz e personalizada. Sorria com confiança e deixe sua beleza interior brilhar!
