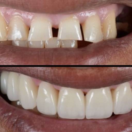
As lentes dentais de porcelana são uma solução estética avançada para corrigir uma variedade de imperfeições dentárias, como manchas, descolorações, espaços entre os dentes, dentes desalinhados ou fraturados. Na Clínica Torquato, oferecemos um serviço especializado em lentes dentais de porcelana para ajudar nossos pacientes a alcançarem um sorriso brilhante e confiante.
Detalhes técnicos: As lentes dentais de porcelana são finas camadas de porcelana personalizadas que são aplicadas sobre a superfície frontal dos dentes. Este procedimento minimamente invasivo é realizado por nossos dentistas especializados, que trabalham com precisão e cuidado para garantir resultados naturais e duradouros. As lentes dentais de porcelana são altamente resistentes a manchas e descolorações, oferecendo aos pacientes um sorriso bonito e radiante por muitos anos.
Benefícios: Além de melhorar a estética do sorriso, as lentes dentais de porcelana oferecem uma série de benefícios funcionais e emocionais. Ao cobrir imperfeições dentárias e restaurar a harmonia do sorriso, este procedimento pode aumentar a autoestima, melhorar a confiança e promover uma sensação geral de bem-estar. Com suas propriedades duráveis e estéticas, as lentes dentais de porcelana são uma escolha popular entre os pacientes que desejam um sorriso bonito e duradouro.
Comparação com a concorrência: O que diferencia as lentes dentais de porcelana na Clínica Torquato é nosso compromisso com a excelência e o cuidado personalizado com cada paciente. Utilizamos materiais de alta qualidade e técnicas avançadas para garantir resultados superiores, sem comprometer a saúde ou a integridade dos dentes naturais. Nossa equipe de dentistas especializados está comprometida em oferecer um serviço excepcional, com atenção aos detalhes e um foco no conforto e satisfação do paciente.
Conclusão: Se você deseja transformar seu sorriso e recuperar sua confiança, as lentes dentais de porcelana na Clínica Torquato são a escolha certa para você. Agende sua consulta hoje mesmo e dê o primeiro passo rumo a um sorriso bonito, brilhante e confiante. Estamos aqui para ajudá-lo a alcançar seus objetivos estéticos de forma segura, eficaz e personalizada. Sorria com confiança e deixe sua beleza interior brilhar!
