As próteses odontológicas estéticas são uma solução eficaz e personalizada para restaurar a aparência e a função dos dentes, proporcionando aos pacientes um sorriso bonito e natural. Na Clínica Torquato, oferecemos um serviço especializado em próteses odontológicas estéticas para ajudar nossos pacientes a recuperarem sua autoestima e confiança.
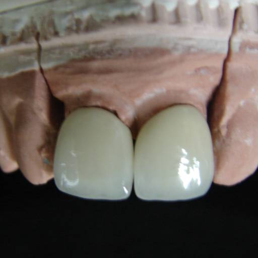
Detalhes técnicos: As próteses odontológicas estéticas são dispositivos personalizados projetados para substituir um ou mais dentes ausentes ou danificados. Estas próteses são fabricadas com materiais de alta qualidade, como cerâmica ou resina composta, e são projetadas para se encaixarem perfeitamente na boca do paciente. Nosso processo de fabricação inclui um cuidadoso planejamento e modelagem, garantindo um ajuste confortável e uma estética natural.
Benefícios: Além de restaurar a aparência e a função dos dentes, as próteses odontológicas estéticas oferecem uma série de benefícios para os pacientes. Estas próteses podem melhorar a mastigação, a fala e a autoconfiança do indivíduo, permitindo-lhes desfrutar de uma vida mais confortável e satisfatória. Com sua estética excepcional e durabilidade, as próteses odontológicas estéticas proporcionam aos pacientes um sorriso bonito e confiante por muitos anos.
Comparação com a concorrência: O que diferencia as próteses odontológicas estéticas na Clínica Torquato é nosso compromisso com a excelência e o cuidado personalizado com cada paciente. Utilizamos materiais de alta qualidade e técnicas avançadas para garantir resultados superiores, sem comprometer o conforto ou a funcionalidade das próteses. Nossa equipe de profissionais experientes está comprometida em oferecer um serviço excepcional, com atenção aos detalhes e um foco na satisfação do paciente.
Conclusão: Se você está procurando uma solução eficaz e duradoura para restaurar seu sorriso, as próteses odontológicas estéticas na Clínica Torquato são a escolha certa para você. Agende sua consulta hoje mesmo e descubra como podemos ajudá-lo a recuperar sua autoestima e confiança com um sorriso bonito e natural. Estamos aqui para ajudá-lo a alcançar seus objetivos odontológicos de forma segura, eficaz e personalizada. Restaure seu sorriso com confiança e deixe sua beleza interior brilhar!
