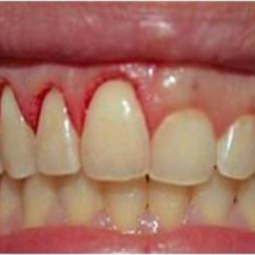
Periodontia
OdontologiaPeriodontia em Assis - Sartori Odontologia CR0-SP 19464 - RT: Patrícia Sartori CR0 106940
A Odontologia Multidisciplinar, que é o atendimento integrado, é um dos grandes diferenciais da Sartori Odontologia. O intuito é reunir em um mesmo endereço profissionais capacitados em suas respectivas áreas de atuação. Juntos, eles estudam cada caso para encontrar a solução mais adequada e, dessa maneira, proporcionar todos os benefícios que a odontologia dispõe atualmente num só lugar. Todos os tipos de tratamentos com profissionais capacitados em cada área.
Somos a escolha certa para você que busca por:
- O que trata a periodontia?
- Quando se deve procurar um periodontista?
- Como é o tratamento de periodontite?
- Qual a diferença entre dentista e periodontista?
As pessoas também pesquisam por:
- Reabilitação dentária
- Botox com Ácido Hialurônico
- Odontologia Especializada.
- Clínica Odontologica
- Ortodontia
- Cirurgiã-dentista
- Odontopediatria
- Protese Dentária
- Clareamento
- Lente de Contato
- Endodontia
- Implantes
- Aparelho
- Estética Facial
- Botox
- Fios de PDO
- Preenchimento
- Preenchimento labial

-