A consultar
Seja o primeiro a avaliar:
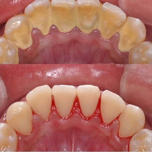
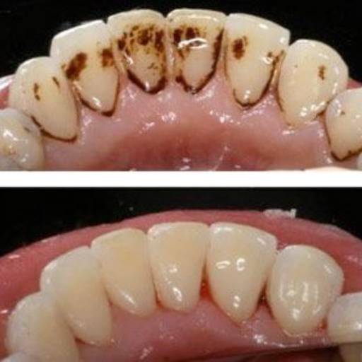
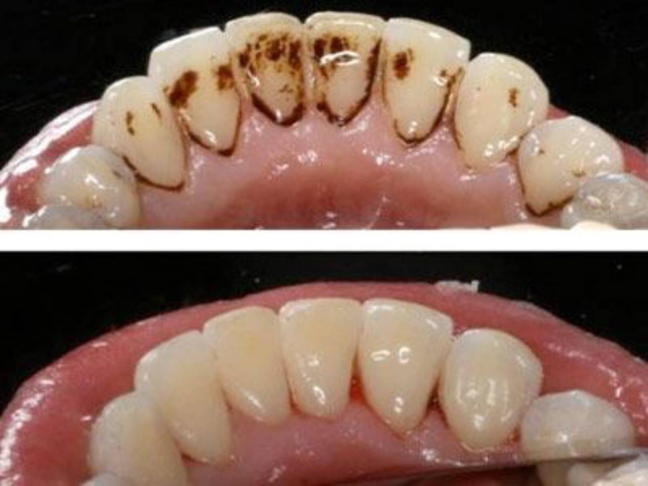
É um tratamento que retira o tártaro da superfície dental e também entre os dentes e gengiva. É um procedimento importante porque o tártaro é resultado do acúmulo de bactérias, que pode causar a inflamação das gengivas (gengivite) ou problemas mais sérios como a periodontite (infecção que afeta a estrutura que dá suporte aos dentes).
