A consultar
Seja o primeiro a avaliar:
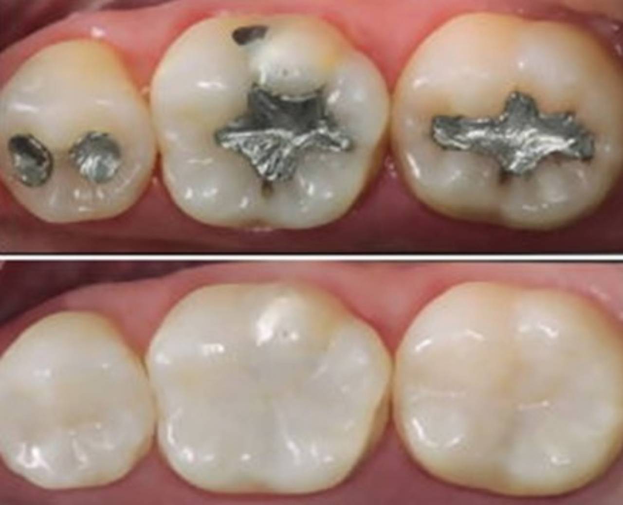
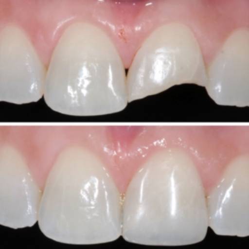
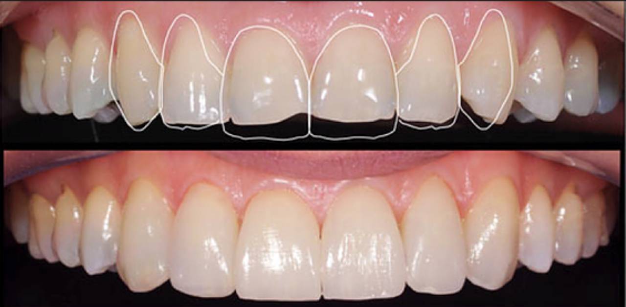
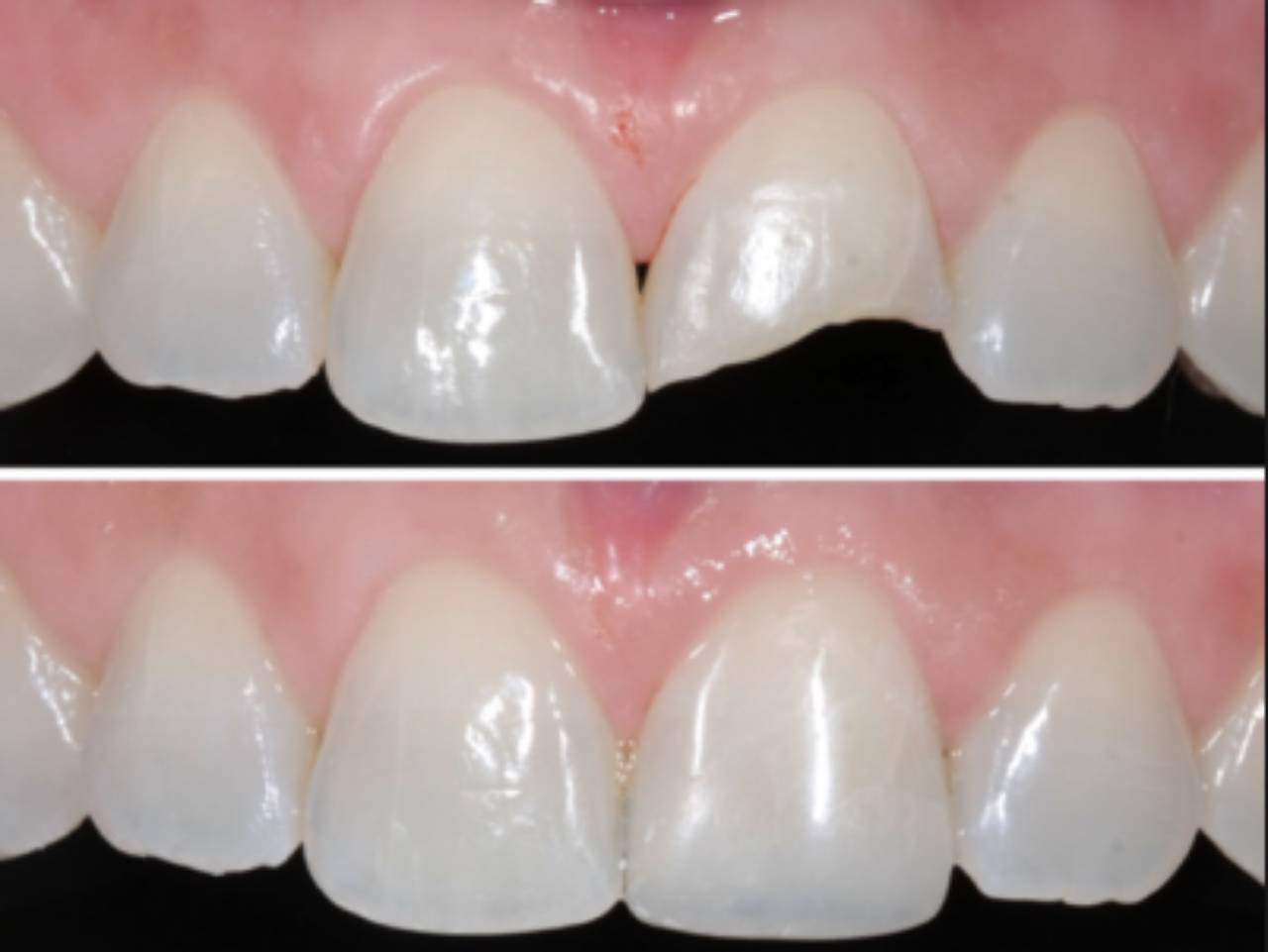
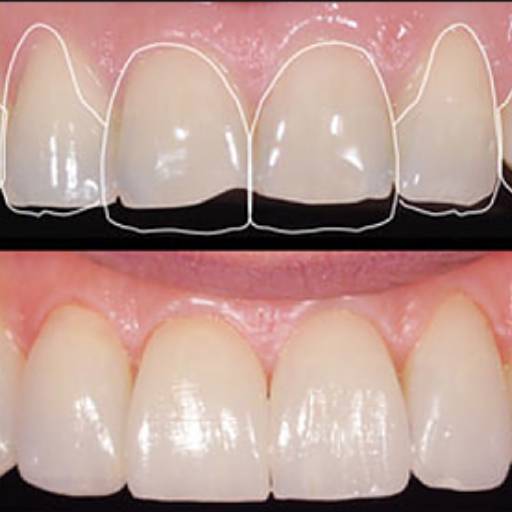
Restauração Estética tem como objetivo de restaurar e reconstruir dentes que sofreram lesões por trauma ou por cárie e ajudando a melhorar a harmonia do sorriso do paciente e também removendo a dor se estiver presente.
