CITOQUÍMICA E HISTOQUÍMICA
Dentre as colorações o H&E (hematoxilina e eosina) é a mais empregada em tecidos na rotina laboratorial e, em amostras citológicas, o Diff-Quik. Entretanto, em alguns casos, aplicamos colorações espefícias que auxiliam no diagnóstico ou no descarte de determinado patógeno ou alteração.
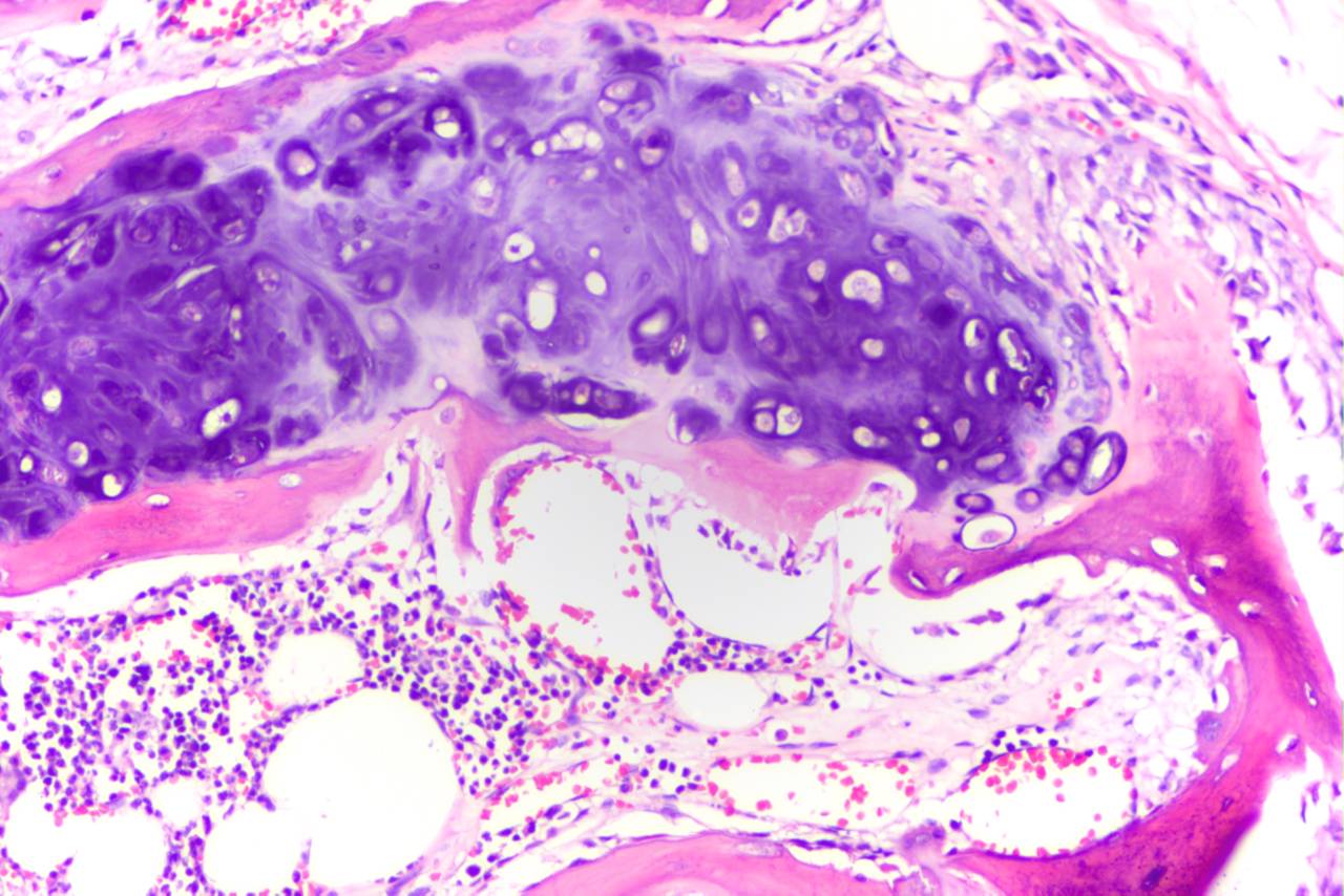
H&E: Hematoxilina e Eosina
Diferência estruturas basofílicas e acidofílicas, hematoxilina e eosina respectivamente. Cora núcleos, reticulo endoplasmático rugoso e ácidos nucleicos em roxo pela hematoxilina e citoplasma, fibras colágenas entre outras estruturas acidofílicas em rosa pela eosina.
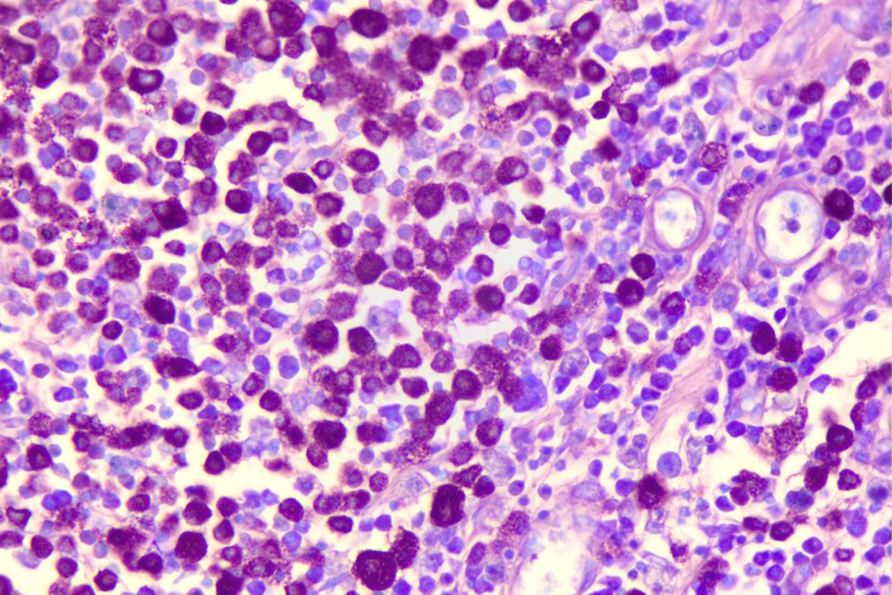
Diff-Quik
Variante comercial da coloração de Romanowsky utilizada para corar variaveis espécimes, como esfregaços sanguíneos, citopatológicos, assim como punções aspirativas por agulha fina (PAAF).
obs: Exemplo desta coloração é o Panótico Rápido®.
Exemplos de colorações são:
PAS: Ácido Periódico de Schiff
Utilizado na rotina para identificação de substâncias formadas por carboidratos (glicogênio, manose, frutose, glicose, galactose) corando estruturas como membrana basal e microrganismos em rosa.
Tricrômico: Tricrômico de Masson
Utilizada para distinguir tecido conjuntivo das demais estruturas, corando oas fibras colágenas de azul.
obs: Outras formulações produzem cor verde na queratina e fibras musculares; Azul ou verde em colágeno e tecido ósseo; vermelho ou rosa o citoplasma de células e; castanho escuro a preto os núcleos das células.
AT: Azul de Toluidina
Geralmente empregada em suspeitas de mastocitoma pouco diferênciados, visto que acentua a granulação intracitoplasmática em magenta, quando presentes. Embora também possa ser utilizado em testes de lignina.
Entre outras.
