A gengiva é a moldura que resulta em uma estética natural, permite higiene e manutenção adequada e previne contaminação óssea ao redor dos implantes
Odontologia em Aracaju, SE
A gengiva é a moldura que resulta em uma estética natural, permite higiene e manutenção adequada e previne contaminação óssea ao redor dos implantes
O que são?
A gengiva ao redor dos dentes e implantes tem a função importante de trazer uma estética natural, permitir adequada higienes, evitar acumulo de restos alimentares e previne contaminação óssea ao redor dos dentes e implantes. O formato, a cor e o volume devem ser o mais próximo possível a gengiva natural.
Por que fazer?
A cada dia vemos mais tratamentos que não atingem o resultado almejado pelo paciente. Muitas vezes eles resultam da ausência de diagnóstico adequado, inadequações ou limitações durante a execução, cuidados pós operatórios negligenciados ou falta/irregularidade de manutenção. A gengiva ao redor dos dentes e implantes tem a função importante de trazer uma estética natural, permitir adequada higienes, evitar acumulo de restos alimentares e previnir contaminação óssea ao redor dos implantes. O correto volume e qualidade gengival, bem como a correta posição da raiz artificial permite uma mastigação confortável e sem dor, bem como higienização e uso de fio dental de maneira indolor.
Como são feitos estes tratamentos?
As cirurgias são feitas em ambiente ambulatorial. Utilizamos para 100% dos nossos casos um planejamento virtual prévio, que torna a cirurgia mais rápida e previsível. O planejamento prévio detalhado também agrega segurança e efetividade aos procedimentos executados. Todos os detalhes e opções de tratamento são previamente apresentadas de forma personalizada para cada paciente.
Se você apresenta uma ou mais dessas características, você pode se beneficiar ou ter indicação para fazer tratamento
- Estética deficiente em volume, coloração e altura da gengiva
- Dentes implantados maiores que seus dentes naturais
- Retrações gengivais
- Dor/sensibilidade na gengiva a escovação e ao fio dental
- Metal do implante sendo visto na boca
Quer saber mais detalhes ou tirar alguma duvida? Preencher o cadastro e mande nos envie sua duvida.
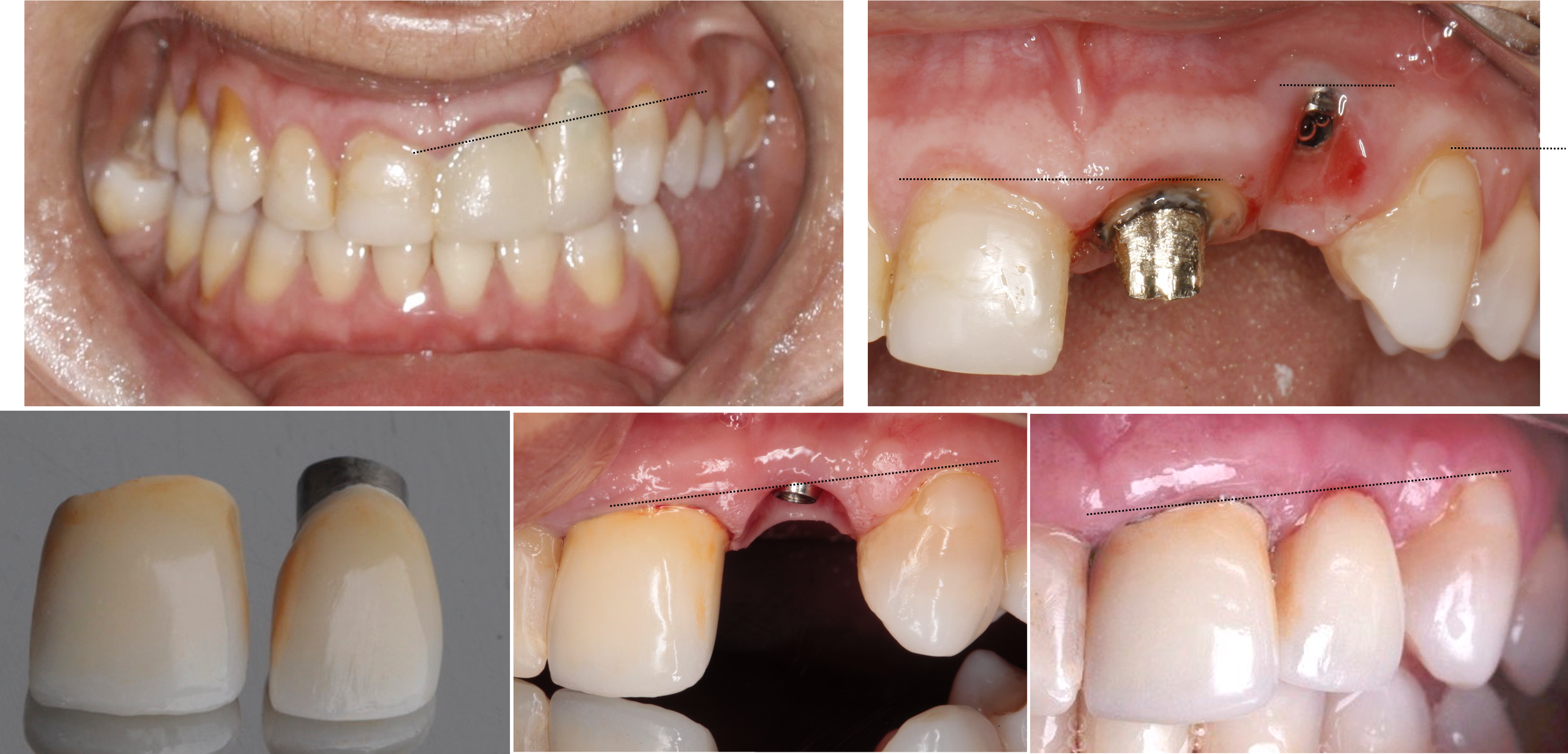
LEGENDA DAS FOTOGRAFIAS
As fotografias da primeira linha foram de um implante executado em posição incorreta que resultou em um dente maior e desalinhado aos demais dentes.
Na sequência de fotografias da segunda linha o Casio retratado com reconstrução óssea, gengival e reposicionamento do implante trazendo harmonia, naturalidade e saúde na reposição do dente.