Estética em Resina Composta

Clínicas de Estética e Esteticistas em Aracaju, SE

Estética em Resina Composta

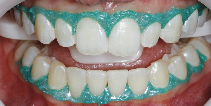
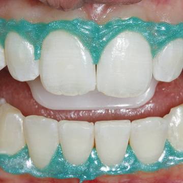
Resina

Possui aplicação bem ampla, podendo ser utilizada para mudar formato e cor dos dentes, restaurar dentes fraturados, preencher cavidades provocadas por cárie e minimizar imperfeições do esmalte dentário.

 


resinaresina compostatratamento odontológicodentes

Categorias


Salvamos dados da sua visita para melhorar e personalizar sua experiência aqui na Solutudo. Ao continuar, você concorda com a nossa Política de Privacidade.